Açık Koyu

Dr. Osman CİVAN ilk ve ortaöğrenimini Seydişehir’de tamamladıktan sonra 2005 yılında Akdeniz Üniversitesi Tıp Fakültesi’ne başladı ve 2011 yılında mezun olup Burdur Devlet Hastanesi’ne pratisyen hekim olarak atandı. Ağustos 2012’de Akdeniz Üniversitesi Ortopedi ve Travmatoloji Anabilim Dalı’nda araştırma görevlisi olarak uzmanlık eğitimine başladı.

KEMİK TÜMÖRÜ

OSTEOSARKOM

OSTEOSARKOM

OSTEOSARKOM

Osteosarkom Nedir?

Osteosarkom, mikroskop altında incelendiğinde immatür (olgunlaşmamış) kemik üretimi ile karakterize edilen kötü huylu (malign) bir kemik tümörüdür. Genellikle kemikten kaynaklanır ancak nadiren kas veya bağ dokusu gibi yumuşak dokulardan da gelişebilir.

Çocukluk ve ergenlik döneminde kemiğin en sık görülen malign tümörüdür.

Tüm yaş grupları içinde ise Multipl Myelom’dan sonra ikinci en sık görülen kemik kanseridir.




Görülme Sıklığı ve Yaş Dağılımı

En sık 15–25 yaş arasında görülür.

6 yaş altı ve 60 yaş üstü vakalar oldukça nadirdir.

Erkeklerde, kadınlara oranla 1.5–2 kat daha sık görülür.

İkinci sıklıkta görülen dönem 50 yaş ve üzeridir — bu yaş grubunda genellikle sekonder osteosarkom şeklindedir.

🔹 Eğer bir yetişkinde osteosarkom görülürse, daha önce radyoterapi uygulanmış olması,

Paget hastalığı veya kemik infarktı gibi altta yatan nedenler araştırılmalıdır.




Histopatolojik Sınıflandırma (DSÖ’ye Göre)

Dünya Sağlık Örgütü’ne (DSÖ) göre osteosarkomlar şu şekilde sınıflandırılır:

Düşük Dereceli Santral Osteosarkom

Konvansiyonel Osteosarkom (Osteoblastik, Kondroblastik, Fibroblastik)

Telenjiektatik Osteosarkom

Küçük Hücreli Osteosarkom

Parosteal Osteosarkom

Periosteal Osteosarkom

Yüksek Dereceli Yüzey Osteosarkomu

Sekonder Osteosarkom

Başka Şekilde Sınıflandırılamayan Osteosarkom (NOS)




Belirtiler ve Bulgular

Osteosarkom genellikle haftalar veya aylar süren, sürekli artan ağrı ile kendini gösterir.

Zamanla şişlik, hareket kısıtlılığı ve gece ağrısı belirgin hale gelir.

Diğer bulgular:

Ağrının giderek artması ve şişlikle birlikte seyretmesi

Kilo kaybı, halsizlik

Laboratuvar testlerinde ALP (Alkalen Fosfataz) ve LDH yüksekliği




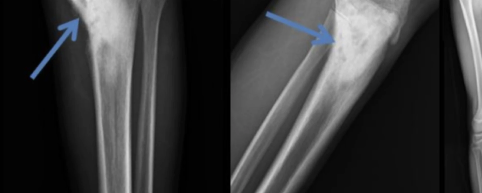
En Sık Görüldüğü Kemik Bölgeleri

Osteosarkom vakalarının %70–80’i uzun kemiklerde, özellikle de metafiz bölgesinde (ekleme yakın uç kısımlar) görülür.

En sık yerleşim bölgeleri:

1. Distal femur (uyluk kemiğinin alt kısmı)

2. Proksimal tibia (kaval kemiğinin üst kısmı)

3. Proksimal humerus (üst kol kemiği)




Metastaz (Yayılım)

En sık akciğere metastaz yapar.

Bu nedenle akciğer BT veya PET ile değerlendirilir.

İkinci sıklıkta başka bir kemiğe metastaz gelişebilir.

Bu da kemik sintigrafisi veya PET ile tespit edilir.

Tedavi Yaklaşımı

Neredeyse tüm osteosarkomlar yüksek dereceli (high-grade) olarak kabul edilir.

Tedavi, kemoterapi ve cerrahi kombinasyonu ile yapılır.

Kemoterapi

Cerrahi öncesi verilen kemoterapiye neoadjuvan kemoterapi,

cerrahi sonrası verilenine adjuvan kemoterapi denir.

Bu tedavi, tümör dokusunun ölmesini ve cerrahi alanın daralmasını sağlar.

Cerrahi

Günümüzde çoğu hastada ekstremite koruyucu cerrahi uygulanır.

Yani ampütasyon (uzvun kesilmesi) nadir olarak gerekir.

Cerrahi sırasında tümör geniş (radikal) rezeksiyon ile çıkarılır.

Boşalan kemik bölgesi şu yöntemlerle yeniden yapılandırılır:

o Endoprostetik rekonstrüksiyon (protez ile onarım)

o Allogreft (kadavra kemiği)

o Damarlı fibula transferi (biyolojik rekonstrüksiyon)

Örneğin, proksimal tibiada yapılan geniş rezeksiyon sonrası gastroknemius flebi ile kas fonksiyonu korunabilir, tümör rezeksiyon protezi ile de ekstremite yeniden yapılandırılabilir.




Düşük ve Orta Dereceli Osteosarkomlar

Parosteal ve iyi diferansiye intramedüller osteosarkomlar:

Düşük derecelidir → yalnızca cerrahi tedavi yeterlidir.

Periosteal osteosarkom: Orta derecelidir → yüksek dereceliler gibi kemoterapi + cerrahi kombinasyonu uygulanır.




Amputasyon Gerektirebilecek Durumlar

Ampütasyon (uzuv kesilmesi), günümüzde çok nadir gereklidir.

Ancak bazı özel durumlarda uygulanabilir:

Yanlış veya uygunsuz yapılmış biyopsi (özellikle ortopedik onkolog dışı merkezlerde)

Majör damar-sinir invazyonu

İleri enfeksiyon

Patolojik kırık veya işlevsiz kalacak ekstremite varlığı




Prognoz (Hastalığın Seyri)

Osteosarkom tedavisi, erken tanı ve uygun cerrahiyle oldukça başarılıdır.

Modern kemoterapi protokolleri ve ekstremite koruyucu cerrahiler sayesinde

uzun dönem sağkalım oranları %60–80 civarındadır.

Düzenli takiplerle hem metastaz hem de nüks riski kontrol altında tutulabilir.




Sonuç

Osteosarkom, çocukluk ve genç erişkinlik çağında en sık görülen kemik kanseridir.

Erken tanı, doğru biyopsi planlaması ve multidisipliner yaklaşım (cerrahi + kemoterapi) ile

çoğu hastada uzuv korunarak başarılı sonuçlar elde edilebilir.

Osteosarkom tanısı alan her hastada tedavi süreci, ortopedik onkoloji, medikal onkoloji ve radyoloji ekiplerinin ortak kararıyla yürütülmelidir. 

Doç. Dr. Osman Civan ve ekibi tarafından Osteosarkom hastalarının tümör protezi, biyolojik rekonstrüksiyon ameliyatları ile tedavisi ve takibi başarı ile yapılmaktadır.