Açık Koyu

Dr. Osman CİVAN ilk ve ortaöğrenimini Seydişehir’de tamamladıktan sonra 2005 yılında Akdeniz Üniversitesi Tıp Fakültesi’ne başladı ve 2011 yılında mezun olup Burdur Devlet Hastanesi’ne pratisyen hekim olarak atandı. Ağustos 2012’de Akdeniz Üniversitesi Ortopedi ve Travmatoloji Anabilim Dalı’nda araştırma görevlisi olarak uzmanlık eğitimine başladı.

Kapak Resmi Portre Resmi

15+

Hekimlik Deneyimi
Hakkımda

DOÇ. DR. OSMAN CİVAN

Doç. Dr. Osman Civan Antalya'da Kemik ve Yumuşak Doku Tümörleri başta olmak üzere; omuz ve diz cerrahisi ile bu alanların artroskopisi üzerine olan çalışmalarına devam etmektedir.

British Orthopaedic Oncology Society (BOOS) Diploma Course in Orthopaedic Oncology 2024-2025 (Ortopedik Onkoloji- Kemik Tümörü ve Yumuşak Doku Tümörü) Musculoskeletal Pathology Course- Musculoskeletal Tumor Treatment/ İtalya (2022) (Ke-mik Tümörleri ve Yumuşak Doku Tümörleri) University of Padua / İtalya- Ortopedik Onkoloji (Kemik ve Yumuşak Doku Tümörle-ri)(2021) Gelenkchirurgie Orthopadie Hannover/Almanya – Artroskopi/ Omuz ve Diz Cerrahisi (2017) Akdeniz Üniversitesi Tıp Fakültesi Ortopedi ve Travmatoloji Anabilim Dalı (İhtisas Eğitimi) Akdeniz Üniversitesi Tıp Fakültesi/ 2005-2011

1500+

Yapılan Ameliyat
SİZDEN GELENLER

Hastalarımızın Değerli Görüşleri

C*** Ç***

Mükemmel bir operasyonla 5 bölgeden 6 tane iyi huylu kemik tümörü (osteokondrom) başarılı bir şekilde çıkarıldı. İyileşme süreci kişiden kişiye değişebilir benim iyileşme... Devamını Oku

E*** Ö***

O kadar doktor gezdim kızımın ayağında kemik tümörü vardı herkes doktor Osman Civan'ı önerdi. Allah razı olsun ameliyati çok basarılı geçti. Ayaktaki kemik tümörü alınara... Devamını Oku

G*** S*** Ç***

Kemik tümörü gibi zorlu ve ürkütücü bir hastalıkla karşı karşıya kaldığımda, yolum Doç.Dr. Osman Civan ile kesişti. Sadece bir doktor değil, adeta bir mucizeyi mümkün kıl... Devamını Oku

H*** G***

11 yaşında oğlumun ayağında kemik kisti olduğunu tesadüfen öğrendik.Tavsiye üzerine Osman Civan hocayı bulduk.Ameliyat olması gerektiğini detaylı bir şekilde anlattı.Başa... Devamını Oku

R*** Ü***

Lliposarkom şüphesiyle Osman bey ile tanıştık, hekim olarak bilgi ve deneyimi elbette tartışılamaz, ancak bu tip tanılarda insanı duygular, yaklaşım ve bilgilendirme çok... Devamını Oku

H*** S***

Osman hocama 4 Ocakta 11 yaşındaki kızımın anevrizmal kemik kisti tanısıyla Alanyadan geldik..21 Ocakta ameliyat olduk ve biz zor bir ameliyat olduk..Kistli bölge komple... Devamını Oku

Ortopedik Onkoloji

osteosarkom
12 Eki

OSTEOSARKOM

Osteosarkom Nedir?

Osteosarkom, mikroskop altında incelendiğinde immatür (olgunlaşmamış) kemik üretimi ile karakter...

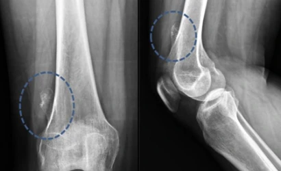
osteokondrom
04 Kas

OSTEOKONDROM

Osteokondrom Nedir ?

Osteokondrom, kemik ve kıkırdak dokunun kemik yüzeyinden dışarı doğru büyümesiyle oluşan iyi huylu (be...

yumusak-doku-tumoru
04 Kas

YUMUŞAK DOKU TÜMÖRÜ

Yumuşak Doku Tümörü Nedir?

Yumuşak doku tümörleri, vücudun kas, ya...